1Cardiocenter, Dept. of cardiology, Third Faculty of Medicine, Charles University Prague, and University Hospital Kralovske Vinohrady, Prague, Czech Republic.2Cardiocenter, Karlovy Vary Regional Hospital, Karlovy Vary, Czech Republic.3Dept. of Radiology, Third Faculty of Medicine, Charles University Prague, and University Hospital Kralovske Vinohrady, Prague, Czech Republic.
Left atrial appendage (LAA) closure (LAAC) is accompanied by a high risk of complications. Due to the complex anatomy of the LAA and the oval-shaped ostium, the proper sizing of the device is often difficult.
To assess individualized fluoroscopy viewing angles using pre-procedural CT analysis and to compare the results of landing zone measurements obtained from CT, transesophageal echocardiography (TEE), intracardiac echocardiography (ICE), and fluoroscopy.
Patients with indications for LAAC were enrolled. Cardiac CT and TEE were done before the procedure; ICE and fluoroscopy measurements were done peri-procedurally. Multiplanar reconstruction of CT images, using FluoroCT software, was done, and optimal “personalized” viewing angles for fluoroscopy were determined. Moreover, a mean (using multiplanar CT reconstruction, derived from the LAA perimetr) amd maximum (using all four imaging modalitities) landing zone (LZ) of the LAA were masured.
Twenty-five patients were analyzed. Despite significant correlation between LZs obtained from different imaging modalities, the values of LZs differed significantly; the mean LZ diameter on CT was 20.60 ± 3.42 mm, the maximum diameters were 21.99 ± 4.03 mm (CT), 18.72 ± 2.44 mm (TEE), 18.20 ± 2.68 mm (ICE), and 17.76 ± 3.24 mm (fluoroscopy). The mean CT diameter matched with the final device selection in 92% patients, while fluoroscopy or TEE maximum diameters in only 72% patients. Optimal viewing angles differed significantly from the fluoroscopy projections usually recommended by the manufacturer in 3 patients.
CT provides the best measurement of the LZ and the best prediction of the optimum fluoroscopy projections for the implantation procedure.
Three randomized trials have shown the non-inferiority of left atrial appendage (LAA) closure (LAAC) to oral anticoagulation in patients with atrial fibrillation (AF). 1 The number of LAAC procedures worldwide has been growing rapidly. Despite the progress in technology, development of new generations of devices, and increased procedural experience, LAAC remains an interventional procedure with one of the highest reported adverse event rates. 2 Since the anatomy of LAA differs significantly among patients, the correct morphological assessment of the LAA is one of the key factors for a safe and effective LAAC. Choosing the proper device size is crucial for optimal procedural outcomes. Choosing an undersized device can result in device embolization or a peri-device leakage, while oversizing can cause tamponade or device embolization. Additionally, recapture and changing the device due to initial under or oversizing can increase procedural risks. The LAA varies significantly in volume, 3D-shape, and neck length; additionally, the LAA ostium can be oval to varying degrees, all of which can make a precise assessment of the landing zone (LZ) difficult. The anatomy and dimension of the LAA can be assessed using several different methods, such as transesophageal echocardiography (TEE), cardiac computed tomography (cCT), peri-procedural intracardiac echocardiography (ICE), or angiography. Different operators use different techniques based on their experience, subspeciality, and training. The cCT examination has been proposed as the most accurate by several authors.3 In this paper, we refer our experience with preprocedural planning and LAA measurements using cCT and visualization using FluoroCT software. Preprocedural cCT images were analyzed regarding (1) the optimal personalized fluoroscopic viewing angles for a given appendage and (2) LZ measurements.
We report on a group of consecutive AF patients who underwent a LAAC at our institution between January 2019 and September 2020, that included all pre-procedural cCT and TEE examinations, as well as peri-procedural fluoroscopy and ICE measurements. Indication for LAAC was a higher stroke risk, which was defined as CHA2DS2VASc ≥ 2, and a history of bleeding that contraindicated the patient for long-term oral anticoagulation therapy. Patients without a pre-procedural cCT or TEE, or without a peri-procedural ICE (i.e. in whom the procedure was navigated using TEE) were excluded from the study. Similarly, patients with significant peri-device leaks (≥ 5 mm), which indicates improper device sizing, were also excluded. This retrospective study, albeit of prospectively collected data, was approved by the hospital's Ethics Committee, and all patients signed informed consent.
Cardiac CT protocol (image acquisition)
cCT was performed 7–30 days before the implantation procedure. The c CT was performed using a Siemens Drive CT scanner, 2×128 row (Siemens Healthineers, Erlangen, Germany), a tube voltage of 100 kV, a tube current of 230 reference mAs using CARE Dose 4D (automated exposure control) (i.e., depending on the patient’s body mass index), collimation of 128×0.62 mm, a pitch of 0.17, and a slice thickness of 0.6 mm. A tri-phasic injection of 80 mL of contrast media (Iomeron, Bracco Imaging, Konstanz, Germany) was used. The first 60 mL of contrast agent was administered at a flow rate of 4.0 mL/s; this was followed by 40 mL of a 25% contrast/saline mixture (flow rate of 4.0 mL/s). Lastly, a saline flush of 30 mL was administered at a flow rate of 4.0 mL/s. Automated bolus tracking, which allowed scanning of the region of interest (ascending aorta) to be synchronized with the injection of the contrast medium, was triggered at 100 Hounsfield units. Retrospective ECG triggered helical technique with pulsing modulation of mAs was used, scanning with full mAs depended on heart rate, with image reconstruction typically during the end-diastolic phase (at ⁓ 70% or R-R interval).
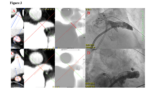
cCT images were analyzed using FluoroCT version 3.2 for OS X 10.11 (application published by P. Theriault-Lauzier). FluoroCT is dedicated software for the simulation of fluoroscopic anatomy using volumetric rendering. 4 Multi-planar reconstructions were used to obtain orthogonal views of the neck of the LAA. The LAA ostium was defined by the line that connects the end of the coumadin ridge superiorly to the inferior junction of the LA/LAA at the circumflex artery, i.e., the echocardiographic ostium. The LZ was measured 10 mm distal to the LAA ostium (i.e., within the LAA). First, the axis of the LAA was carefully checked to improve coaxial measurements of the LZ; then, the orthogonal en face view of the LAA, at the level of the LZ, was obtained ([Figure 1] and [Figure 2]) and used for the measurement. In each measurement, the minimum and maximum diameter, as well as the perimeter, were measured. The mean diameter was then calculated based on the perimeter of the LZ. The optimal, individualized projection angle was defined using FluoroCT software ([Figure 3] and [Figure 4]). The software creates simulated views from various fluoroscopic positions. The so-called “banana view” of the LAA was assessed first, i.e., the projection of the LAA in which the maximum length of the LAA is visible. Then, using a perpendicular projection, the LZ was drawn. Lastly, individual optimal projection angles, i.e., combinations of the right anterior oblique (RAO) + cranial (CRA) or caudal (CAUD) projections, were tested to determine which provided the best visualization of LAA. An example of two patients with very different optimal projection angles is shown in [Figure 3] and [Figure 4].
Figure 1. The figure shows the summary of results

Left side: optimal personalized projection fluoroscopic angles are shown of patients with “common” superiorly-anteriorly (A) and less often superiorly-posteriorly located LAA (B).
Figure 2. Examples of LZ measurement from all four modalities

Using cCT, the LZ was measured as the maximum and minimum LZ in en face view of the ostium of the LAA (the plane of measurements had to be perpendicular to the LAA axis). The mean LZ was derived from the LZ perimeter.
Figure 3. Example of the fluoroscopic projection angles of a patient with a typically located LAA

In a patient with a typically (superiorly-anteriorly) located LAA, the optimal fluoroscopic projection angles (as assessed using cCT analysis) well corresponded with the generally recommended fluoroscopic projection in RAO 30° - CRA or CAUD 10-20°)
Figure 4. Examples of the assessment of and the individualized projection angles for a patient with an superiorly-posteriorly (atypically) located LAA

In a patient with a atypically (posteriorly, or backward orientated, lying on the top of the atrium) appendage, the optimal viewing fluoroscopic angle differed significantly from the projection angles recommended by the manufacturer. In the standard RAO30° - CRA20° projection, only the proximal part of the LAA was visible, creating an image of a “bud” during LAA angiography.
TEE examination and measurements
A TEE was done one day before the procedure, or on the morning of the day of the procedure, using a 3D probe with x-Plane imaging (i.e., two simultaneous planes) using a Vivid E95 echocardiograph (GE Vingmed Ultrasound, Horten, Norway). Patients were in a fasting state for at least 4 hours before the examination. The orifice of the LAA was measured between the end of the coumadin ridge and the circumflex artery. The LZ was measured as the widest distance (at a position 10 mm inside the LAA) using the mid- and high-esophageal views, from 0° to 135°, most often along the short-axis and long-axis projections. [Figure 1] All measurements were done from 2D projections, and maximum distances (used in this article) were measured mostly during mid-diastole, which is the current standard for sizing.
Fluoroscopic measurements were done after the transseptal puncture (TSP), i.e., when both the delivery and CHANNEL™ sheaths were in the LA. Using a 5F pigtail catheter, either a 12F or 14F delivery sheath was introduced in the LAA. At least two cineangiographic projections were made in all patients using projections recommended by the manufacturer (i.e., RAO30° + CRA10–20° and RAO 30° + CAUD10–20°. If the expected personalized optimal visualization proposed by cCT analysis differed significantly from the standard recommended projections, additional angiographic injections into the LAA were carried out using the best-expected personalized projection(s). Calibration was done using the contours of the delivery sheath (12F or 14F), and the maximum measurements were taken. [Figure 1].
ICE measurements (Vivid q, GE Ultrasound, Horten, Norway) were done with an ICE probe (Accuson AcuNav, Siemens Healthcare, Germany) positioned in the LAA. Measurements were taken using an ICE probe position that optimally visualized the LAA. Typically, the ICE probe was positioned in the left superior pulmonary vein, but in some patients, the LAA was best visualized from the middle of the LA; as such, measurements in these patients were done from the LAA position [Figure 1].
Left atrial appendage closure
LAAC was performed under mild sedation (fentanyl, midazolam) and under ICE and fluoroscopy guidance. A saline infusion of 500 ml was administered in the early morning hours on the day of the procedure. The left femoral vein was used for the introduction of one (9F or 11F) sheath for the ICE probe (Accuson AcuNav, Siemens Healthcare, Germany). The ICE probe was inserted first into the right ventricular outflow tract to exclude thrombi in the LAA, and then in the right atrium to navigate the TSP and the procedure. The right femoral vein was used for the introduction of two (8.5F) transeptal sheaths (SL-1, Abbott, Plymouth, MN, USA). Five-thousand IU of heparin was administered before the TSP. After that, two TSPs were done under ICE navigation using a BRK-1 XS needle (Abbott, Plymouth, MN, USA), which was followed by the administration of another bolus of heparin to achieve a heparin level of 70–100 IU/kg. Activated clotting time (ACT) was measured every 20 min, and additional heparin boluses were given to achieve and maintain an ACT > 300. Both TSPs were done as inferiorly as possible, with the first TSP being more anterior (the aim was to see the shadow of the LAA with the ICE probe during the TSP) and the second TSP more towards the left pulmonary veins. The first SL1 sheath was replaced by an F12 or F14 delivery sheath (Abbot, Plymouth, MN, USA) and the second by a 9F CHANNEL Steerable Sheath (Boston Scientific, Marlborough, MA, USA) both using extra stiff wire (Amplatzer Guidewire, 9-GW-002, Abbot, Plymouth, MN, USA). The tip of the CHANNEL sheath was left in the left superior pulmonary vein to achieve stabil position during the procedure. After that, the ICE probe was inserted in the CHANNEL sheath. The advantage of the CHANNEL sheath is its ultrasound transparency, i.e., in contrast to SL1 sheath, we can “see” through the sheath having the ICE probe inside the sheath. The LZ of the LAA was repeatedly measured using ICE. Using a 6F Impulse™ pigtail catheter (Boston Scientific, Marlborough, MA, USA), the LAA was intubated (as “over-the-wire”), and the delivery sheath was inserted into the LAA. LAA cineangiography was performed using the delivery sheath from at least two different projections. Device sizing was based on an agreement between two of the three imaging modalities (i.e., cCT, TEE, or angiography) considering the maximumt (TEE, ICE and angiography) or mean LZ (cCT). The degree of device oversizing was chosen by the operator. Based on our previous experience using the manufacturer's recommendations for device sizing, in relation to the maximum LZ diameter obtained from TEE and fluoroscopy, these two modalities were preferred in case of agreement. In the absence of agreement, ICE and CT measurements were also considered, and the final decision was based on all four imaging modalities and a discussion between both operators and the company’s technical support team. After Amulet (Abbott, Plymout, MN, USa) implantation, we strived to achieve the 5 signs of proper device deployment (tire-shaped lobe, separation of the lobe from the disc, the concavity of the disc, axis of the lobe perpendicular to the neck axis of the LZ, and width of the lobe of ≥ 2/3 within the circumflex artery. Peri-device leakage was checked using ICE and contrast dye injection before device delivery. Aspirin was given I.V. immediately after device delivery, and clopidogrel (P.O.) was given within 30 min after the procedure. The antithrombotic regimen after the LAAC consisted of aspirin + clopidogrel for three months. After that, a TEE was done, and in the absence of any peri-device leakage, clopidogrel was withdrawn.
Baseline and procedural characteristics
Since February 2019 to September 2020, LAAC was performed on 28 patients. Two of them were done using TEE navigation, and in 1 of them, significant leak was present on 3 month TEE. Thus, 25 patients were finally analyzed; the mean age was 73.08 ± 8.95, 9 (36%) were females, the mean CHA2DS2VASc was 4.28 ± 1.46, and the mean HAS-BLED score was 2.08 ± 0.64. The indication for a LAAC, in all patients, was a history of significant bleeding, and all patients were deemed unsuitable for long-term anticoagulation. Baseline characteristics of the cohort, including antithrombotic treatment at the time of the procedure, are shown in [Table 1]. The implantation was successful in all patients; the mean procedure length was 98.4 ± 16.8 min, fluoroscopy time was 11.3 ± 3.7 min, and the mean Amulet size was 22.6 ± 3.5. No significant peri-device leakage was present 3 months after the procedure (based on TEE examinations). The TEE assessment of device position and compression at 3-months was “very good.” Regarding complications, there was one pericardial effusion that occurred roughly 3 hours after the procedure; it resolved with a good outcome and without the need for cardiac surgery.
Table 1. Baseline parameters
| Variable (n = 25) |
|
| Age (yrs.) |
73.08±8.95 |
| Female sex (%) |
9 (36 %) |
| BMI |
29.45±6.03 |
| Congestive heart failure (%) |
8 (32%) |
| Hypertension (%) |
24 (96%) |
| Uncontrolled hypertension (%) |
2 (8%) |
| Diabetes mellitus (%) |
4 (16%) |
| Stroke (%) |
21 (84%) |
| Vascular disease (%) |
11 (44%) |
| Abnormal liver/kidney function (%) |
1 (4%) |
| Bleeding history of predisposition (%) |
25 (100%) |
| Labile INR (%) |
20 (80%) |
| Drugs increasing bleeding risk (%) |
4 (16%) |
| CHA2DS2VASc score |
4.28+1.46 |
| HAS-BLED score |
2.08+0.64 |
| Pacemaker |
7 (28 %) |
| LV EF (%) |
58.2+6.1 |
| LA size (mm) |
45.6+5.5 |
| Medication |
|
| Warfarin (%) |
2 (8%) |
| NOAC /of which reduced (%) |
10/7 (12%/28%) |
| Antiplatelet (%) |
9 (36%) |
| No antithrombotic (%) |
5 (20%) |
| Laboratory results |
|
| Hemoglobin (g/L) |
127.2+19.1 |
| Hematocrit (%) |
38.3+5.5 |
| Platelet (x109/L) |
161.8+58.1 |
| Creatinine (µmol/L) |
88.2+29.3 |
| Urea (mmol/L) |
5.7+2.9 |
| ALT (µkat/L) |
0.41+0.23 |
| AST(µkat/L) |
0.49+0.42 |
The mean duration of the 25 analyzed patients was 17.1+8.8 months. During the follow-up, two patients (8%) died (both from heart failure). Stroke occurred in 1 patient (15 months after the procedure, on aspirin, with good clinical outcome, mRankin = 2), and 1 patient underwent clinically-relevant non-major bleeding. All patients were on antiplatelet monotherapy at last available control. Regarding the follow-up of three non-analyzed patients, two were on antiplatelet monotherapy and one on apixaban (patient with leak), and none underwent either stroke or significant bleeding.
Landing zone measurements
There were good correlations relative to LZ measurements with all 4 imaging modalities; R = 0.84 (p < 0.001) for the mean CT vs. TEE, R = 0.79 (p < 0.001) for the mean CT vs. fluoroscopy, R = 0.62 (p = 0.001) for the mean CT vs. ICE, R = 0.78 (p < 0.001) for fluoroscopy vs. TEE, R = 0.60 (p = 0.002) for fluoroscopy vs. ICE, and R = 0.57 (p = 0.004) for TEE vs. ICE. The correlations between the mean CT diameter and values obtained from the other 3 imaging modalities are shown in [Figure 5]. However, the LZ obtained from these different modalities were significantly different [Figure 1]. The mean diameter on CT was 20.60 ± 3.42 mm, and the maximum diameter on CT was CT, 21.99 ± 4.03 mm. Because the LAA mean diameter on CT best matched with the final size of implanted device, all other diameters were compared to this one. The maximum diameter on TEE was 18.72 ± 2.44 mm (p<0.001, if compared to mean CT diameter), the maximum diameter on ICE was 18.20 ± 2.68 mm (p<0.001, if compared to mean CT diameter), and the maximum on fluoroscopy was 17.76 ± 3.24 mm (p< 0.001, if compared to mean CT diameter).
Figure 5. Correlations of mean CT diameters with maximum TEE (A), maximum fluoroscopy (B), and maximum ICE (C) diameters

All correlations were analyzed using the Pearson correlation coefficient.
Bland-Altman plots comparing mean CT diameter with maximum diameters obrained from TEE, ICE and fluoroscopy are shown in [Figure 6]. If we used the mean diameter from CT as the best and most accurate standard, then the least discrepancy was found between the mean CT and the maximum TEE diameter (−1.88 mm), next was the mean CT and the maximum ICE diameter (−2.40 mm), and the greatest discrepancy was found between the mean CT and the maximum fluoroscopy diameter (−2.84 mm). The discrepancies between TEE, ICE, and fluoroscopic measurements, compared to cCT values, are shown in [Table 2]. Importantly, the values obtained from TEE and fluoroscopy were constantly ~ 2 lower compared to cCT; however ICE values differed, some of them were lower and some other higher than cCT values.
Figure 6. Bland-Altman plots of mean CT diameters compared to maximum TEE (A), maximum fluoroscopy (B), and maximum ICE diameters (C)

The mean bias was calculated as the mean of the differences between the values obtained from two measurements. The mean bias, zero, and 2 standard deviation lines are shown.
Table 2. The differences in measurements obtained by different imaging modalities
|
TEE |
Fluoroscopy |
ICE |
| Mean CT diameter |
-1.88 + 1.97 |
-2.84 + 2.21 |
-2.40 + 2.77 |
| Maximum CT diameter |
-3.13 + 2.90 |
-4.22 + 3.21 |
-3.79 + 3.86 |
| Minimum CT diameter |
2.62 + 2.22 |
1.66 + 2.75 |
2.10 + 2.63 |
In terms of device size selection relative to the sizing based on maximum fluoroscopy or TEE diameter, per the manufacturer’s recommendations, if only a single modality had been used, 18 (72%) of the fluoroscopy, 18 (72%) of the TEE , and 12 (48%) of the ICE measurements would have been correct in terms of selecting the device size that was finally implanted. When using the CT mean diameter and then choosing the next larger-sized LAAC device, 23 (92%) of the CT measurements were correct in selecting the optimal device size relative to what was actually implanted. Of the 2 CT outlier measurements, both would have led to implantation of an oversized device; of the 7 TEE outlier measurements, 4 would have led to oversizing and 3 to undersizing; of the 7 fluoroscopic outlier measurements, 5 would have led to undersizing and only 2 to oversizing, and of the 13 ICE outlier measurements, 5 would have led to oversizing and 7 to undersizing (again, all comparisons are between predicted sizes the actual size of the implanted devices).
Optimal fluoroscopic projection assessment (personalized fluoroscopic viewing angles)
On cCT, personalized viewing fluoroscopy angles were searched for each particular LAA in different combinations of RAO projections with different cranial and caudal projections. The aim was to test for how many patients the fluoroscopic projections recommended by the manufacturer will be acceptable. The RAO 30°, in combination with CRA 10–20° or CAUD 10–20° provided at least one acceptable projection in most patients (22 pts., 88%), although FluoroCT analysis allowed to find the best personalized viewing angle in this relatively broad angle range. However, in patients with the LAA lying superiorly and posteriorly, i.e. LAA with an early posterior angulation lying “backward” on the roof of the left atrium and instead lying superiorly-anteriorly and pointing toward the left ventricle, the optimal fluoroscopic projections differed substantially with greater RAO and CAUD angles being needed. An example of a posteriorly oriented LAA is shown in [Figure 4]; in this particular patient, the optimal viewing angle, analyzed using FlouroCT, was RAO36° - CAUD 26° that was also finally used for implantation [Figure 4].
Cardiac CT provided the most accurate LZ diameter measurements and was optimally correlated with the actual size of the implanted device. The maximum diameters measured using TEE, fluoroscopy, and ICE correlated well with values obtained from cCT, but all these measurements systematically underestimated the LZ diameter. Moreover, preplanning of the implantation procedure using cCT analysis enabled the preprocedural determination of the optimum personalized fluoroscopic viewing angles for the best visualization of the LAA, something which is valuable for the operator and can make the procedure more convenient.
In a few, mostly retrospective, single-center studies, CT LAA measurements have been shown to be larger than those obtained using angiography and 2D-TEE. 3567 Recent evidence suggests that landing zones determined using CT are 2–3 mm larger than those determined using angiography and 2D TEE. 8 Saw et al. showed (which agrees with our results) that cardiac CT provides the largest measurements of the LZs, followed by TEE and fluoroscopy. 6 Saw et al. analyzed 50 patients, 18 of whom were implanted with an Amulet/ACP device. In this series, LZs were measured using fluoroscopy, TEE, and cardiac CT. On cardiac CT, not the mean (computed from the perimeter), but only the maximum diameters were measured. The maximum diameter obtained from CT was 1.8±3.1 mm greater than from TEE and 4.2±3.3 greater than from fluoroscopy. This is in agreement with our findings, despite the absence of the mean diameter on CT analysis . Several reports have documented oval, eccentric, and sometimes irregular LAA orifices and LZs in vast majority of patients. Therefore, it is questionable whether reliance on the maximum orifice diameter (obtained using TEE or fluoroscopy) for device sizing is the best approach. Given the circular nature of the Amulet and the variability of the LAA ostium, a mean orifice diameter might be a much better approach. Compression of the device in the shortest LAA distance can be balanced against its expansion to the widest LAA distance. Parallels can be drawn, in this regard, to experiences with transcatheter aortic replacement, where the mean orifice (derived from multiplanar perimeter measurements) appears to confer more appropriate over the maximum planar diameter, especially if it is eccentric. 9
Budge et al. compared LZs from measurements obtained from planar and three-dimensional cCT of 53 AF patients. 10 LZs derived from 3D cCT measurements had significantly larger LZs than those derived from planar cCT measurements (by 2.4 mm). Since these patients did not undergo LAAC, the match of cCT measurements with real device implanted could not be done. This data, as well as our own, further supports the potential advantage of incorporating routine multi-planar imaging into the procedural workup. According to the most recent reports, the LAA mean diameter derived from the LAA ostial perimeter from multiplanar measurements on cCTs seems to be the best measure for device selection. It reflects the oval nature of the LAA ostium, and device selection based on the maximum diameter of highly elliptical LAAs could lead to significant device oversizing.
Rajwani et al., in a retrospective analysis, compared values obtained from cCT and TEE in patients implanted with a Watchman device using three different imaging modalities. The maximum diameter from 2D TEE was 3.0 mm smaller than the maximum diameter from cardiac CT and 1.1 mm smaller than the mean diameter from cCT (which was derived from perimeter measurements). Although Rajwani et al. compared the LAA parameters used for Watchman implantation (as did the majority of the aforementioned studies), i.e., the LAA ostium was measured to different depths for the LZ compared to Amulet implantation; the results are still in accordance with our findings. Moreover, TEE measurements translated to an altered device selection in more than half of cases, and the median size predicted by cCT was one interval greater than that predicted by TEE. 8 Finally, as was recently reported by Chow et al., using the mean diameter from CT and choosing the next larger-sized LAAC device, the proportion of patients without contrast leakage was significantly higher than if device sizing was based on maximum diameter obtained from 2D-TEE. 11
In our cohort, if the mean diameter from CT had been used for device sizing, it would have been correct in 92% of cases. However, if only fluoroscopic or only TEE measurements had been used, they would have only been correct in 72% of cases. The standard viewing projection recommended for LAAC, i.e., RAO30° plus mild cranial and caudal views, express the projection in which the minimum diameter of LAA is appreciated. 4 The maximum diameter of the appendage can best be seen in the LAO and CAU projections, which are not used for LAAC. 4 Considering that in most patients, the LAA has an oval shape, this may clearly explain the large differences, especially between the maximum (or mean) parameters measured using CT and fluoroscopy. Importantly, regarding the comparison of cCT with three other modalities, TEE and fluoroscopy constantly undersized the LZ by ~ 2 mm. However, the values obtained from ICE differed inconsistently in comparison to TEE or fluoroscopy, some of them were lower but other higher compared to cCT. It would make the use of ICE very difficult, if used as standard for device sizing.
Personalized fluoroscopic viewing angles for the LAA
The LAA is a finger-like projection that derives from the LA and forms part of the left border of the cardiac silhouette. It lies superior to the left ventricle and inferior to the pulmonary artery. The apex of the LAA can vary in its position, although it usually points anteriorly and superiorly. However, several different variations have been described, e.g., it may point posteriorly backward towards the LA or behind the aorta. 12
The previously mentioned reports were focused on a comparison of LZ measurements between different imaging modalities. However, optimal LAA visualization during the LAAC procedure is an important issue, and interestingly, it has received far less attention. As noted by Shee et al., personalized viewing projections obtained from a cCT or a 3D printed LA model can improve the accuracy of fluoroscopic measurements of LAA dimensions compared to using standard fluoroscopic angles. 13 Shee et al. analyzed cCT and 3D printed LAA reconstructions from 28 patients prior to Watchman implantation to identify personalized viewing angles in which the LAA maximum landing zone diameter and LAA length were best observed. The LZ and the length of the LAA were measured using standard angles (i.e., RAO30° CAUD20°) as well as using personalized angles for each LAA, which had been obtained from cCT. Maximum measurements obtained from personalized projections were greater than measurements obtained from standard angles and were more consistent with hypothetical device size predictions (since the reference implantation was based on a 3D LAA model and not in vivo measurements). 13 Wang et al. carried out a comprehensive study on cCT morphologies and the location of the LAA (not indicated for LAAC), their relationship to the left pulmonary veins, LAA neck angles and the angle of the first LAA lobe, the distance from the ostium to the first bend, and the angle of the first bend (measured relative to the central axis of the primary lobe). 14 A pronounced bend in the primary lobe was seen in 73.2% of patients; the typical angle of the first bend was around 100°; however, it varied significantly from 40° to 160°. In our cohort, the individualized viewing angles were close to the standard recommended viewing angles (i.e., RAO 30°-CRA 10°–20°, or RAO 30°-CAUD 10°–20°) in the majority of patients. However, in 3 (12%) patients with superiorly and posteriorly oriented appendages (i.e., not oriented towards the left ventricle, but going backward on the left atrium), the optimal viewing fluoroscopy angles differed significantly (i.e., the optimum visualization was present in more caudal views, for example see [Figure 4]). The personalized viewing projections, which we defined as the fluoroscopy projection in which maximum LAA lengths were best observed (which we called as the “banana” view of the LAA), and simultaneously, the device (if optimally implanted) had to be perpendicular to the LAA axis, made the procedure more convenient for the operator. By seeing the whole length of the LAA, the operator can insert the pigtail as distally as possible, can see if the sheath is parallel with the long axis of the LAA, and can confirm the position of the device relative to the LAA axis (i.e., the device should be perpendicular in this view to the LAA axis). This could be even more important for Watchman devices, since the devices are implanted deeper in the LAA, and more distal LAA intubation is needed.